Виниры
Мы используем передовые методики, оригинальную керамику Е-max (IVOCLAR)
Над вашей улыбкой будут работать зубные техники высочайшего класса, также с помощью микроскопа
Если вы мечтаете о голивудской улыбке, то эта тема для Вас! 🤩
В стоматологическом кабинете "AL-TER DENT" не только лечат зубы, но и работают над красотой улыбки.😁
В этом плане ВИНИРЫ занимают лидирущие позиции во всем мире. Виниры представляют собой тонкую керамическую «чешуйку», которая прочно приклеивается к зубу. Такая «накладка» позволяет изменить форму, цвет зубов,исправить кривизну. Виниры очень популярны благодаря своим бесспрорным преимуществам:
- максимальная естественность, прозрачность
- устойчивость цвета
- не требуется регулярная полировка и чистка
- срок службы 10-15 лет
- плотное приклеивание к зубу - не скапливаются пища и бактерии
- зубы подпиливаются меньше,чем для пломбы и коронки!
Но есть и недостатки:
- высокая цена
- хрупкость(нельзя открывать зубами бутылки и грызть орехи!)
- требуется особая квалификация для врачей и техников (гарантируется в нашем кабинете)
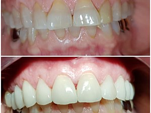
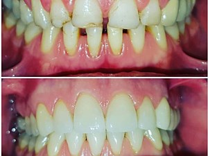
Как выглядят наши работы на фото...
Нажмите на изображения ниже, чтобы просмотреть их в увеличенном виде.
Будьте красивыми, добрыми, обоятельными, радуйтесь, не бойтесь перемен и У Л Ы Б А Й Т Е С Ь !









